Det är den första i sitt slag i världen.
Det var en ganska vanlig dag på avdelningen för Canberra Hospitals infektionsläkare Dr. Sanjaya Senanayake, tills en annan neurokirurg ringde honom och sa, ”Herregud, du skulle inte tro vad jag just hittade i den här damens hjärna – och den lever och slingrar sig.”
Neurokirurgen, Dr. Hari Priya Bandi, hade dragit en 8 cm lång parasitisk rundmask från sin patient, vilket fick henne att ringa Senanayake och andra sjukhuskollegor för att få råd om vad hon skulle göra härnäst.
Patienten, en 64-årig kvinna från sydöstra New South Wales, lades in på sitt lokala sjukhus i slutet av januari 2021 efter att ha lidit av tre veckor av buksmärtor och diarré, följt av en ihållande torr hosta, feber och nattliga svettningar.

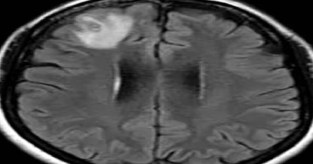
År 2022 inkluderade hennes symtom också glömska och depression, vilket ledde till en remiss till Canberras sjukhus. En MR-undersökning av hennes hjärna avslöjade abnormiteter som krävde operation.
”Men neurokirurgen gick verkligen inte in och trodde att de skulle hitta en slingrande mask,” sa Senanayake. ”Neurokirurger hanterar regelbundet infektioner i hjärnan, men det här var en gång i karriären. Ingen förväntade sig att hitta det.”, skriver The Guardian
Den överraskande upptäckten fick ett team på sjukhuset att snabbt samlas för att avslöja vilken typ av spolmask det var och, viktigast av allt, besluta om eventuell ytterligare behandling som patienten kan behöva.
”Vi gick bara till läroböckerna och letade upp alla olika typer av rundmaskar som kan orsaka neurologisk invasion och sjukdom,” sa Senanayake. Deras sökande var fruktlöst och de vände sig till externa experter för att få hjälp.

”Canberra är en liten plats så vi skickade masken, som fortfarande levde, direkt till labbet hos en CSIRO-forskare som är mycket erfaren med parasiter,” sa Senanayake. ”Han bara tittade på den och sa, ’Herregud, det här är Ophidascaris robertsi’.”
Patienten bor nära ett sjöområde som bebos av pytonslangar. Trots ingen direkt kontakt med orm, samlade hon ofta inhemska gräs, inklusive krigsgrönt, från runt sjön för att använda i matlagning, sa Senanayake.
Läkarna och forskarna som är inblandade i hennes fall antar att en pytonslang kan ha kastat ut parasiten i gräset via dess avföring. De tror att patienten sannolikt var infekterad med parasiten genom att röra det inhemska gräset och överföra äggen till mat eller köksredskap, eller efter att ha ätit grönsakerna.
