De okända husmorsknepet som gör att du slipper tandläkaren – med endast 2 ingredienser som du redan har hemma

Annons

Här är knepet som kan göra underverk för dina tänder!

Att gå till tandläkaren är aldrig roligt och det kan nog de flesta hålla med om. Många tycker att det är obehagligt och läskigt att besöka tandläkaren.

Ett besök är väldigt dyrt och om man behöver åtgärda någonting drar det iväg en hel del.

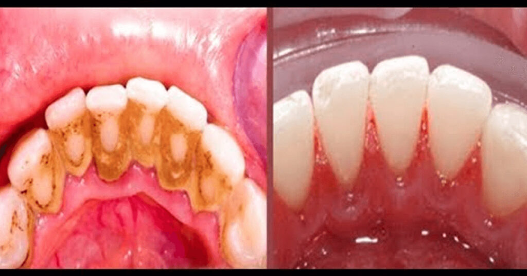
För att man inte ska drabbas av tidig tandlossning måste man rena munnen från plack och karies. Och efter att ha sett det här husmorsknepet kommer du inte behöva oroa dig för att få problem med tänderna längre.

Enligt vetenskap så är det bara två ingredienser som behövs för att slippa tandläkaren.

Annons

Du behöver:

1 tsk salt

2 tsk bakpulver

Vatten

Så här gör du:

Blanda bakpulver och salt i ett glas.

Tillsätt cirka en tesked med vatten, eller så mycket som det behövs för att det ska bli kletigt.

Borsta tänderna med innehållet i ungefär tre minuter. Skölj därefter med vatten.

Smeten smakar inte jättegott så försök undvika att få det på tungan. Det som händer är att det polerar bort tändernas yttre missfärgningar och placken som finns.

Upprepa detta ungefär 2 gånger i månaden.

Dela detta så fler får ta del av detta.

Se klippet nedan.

Dela gärna videon och tipsa om knepet!

Annons

Andra läste även